Cases

診療事例

CASE01

「もう口元を隠さなくていい」
最高の笑顔と
自信を手に入れた
喜びを叶える

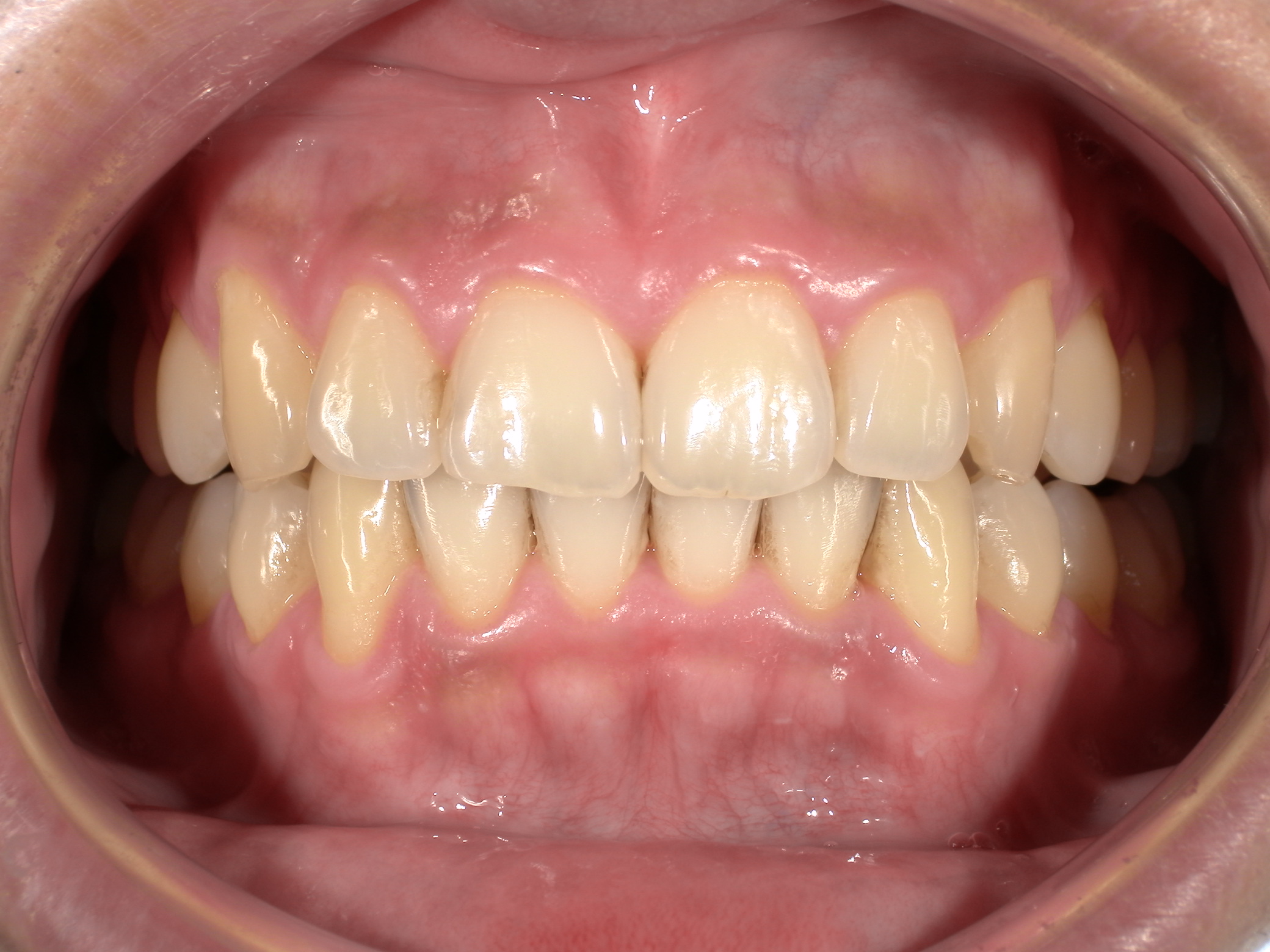
患者様の背景と「口元を気にせず、思いきり笑いたい」という強い想い
こちらの患者様は、長年**前歯のすき間(すきっ歯)**に悩んでいらっしゃいました。特に、「笑うときに自然と口元を隠してしまう」「人と話すときに歯を見られている気がして自信が持てない」という不安を抱えていたそうです。

さらに、すきっ歯が原因で食べ物が頻繁に挟まり、食後のストレスも感じていらっしゃいました。

「新しい仕事が始まる前に、自信を持って堂々と振る舞えるようになりたい」「写真撮影のときも、心から楽しんで笑える自分になりたい」という強い願いをお持ちでした。治療期間が短く、かつ誰にも気づかれにくいマウスピース矯正をご提案したところ、「これなら始められる」と前向きに治療を決意されました。

詳しく見る

CASE02

前歯の
ねじれを改善し
自信あふれる
笑顔へ

「人前で笑うとき、つい口元を隠してしまう」「写真に写るのが苦手」といったお悩みはありませんか?特に、前歯のねじれやわずかなガタつきは、ご自身で思っている以上にコンプレックスに感じやすいものです。このようなお悩みには、目立たない「マウスピース矯正」が有効な選択肢となります。

詳しく見る

CASE03

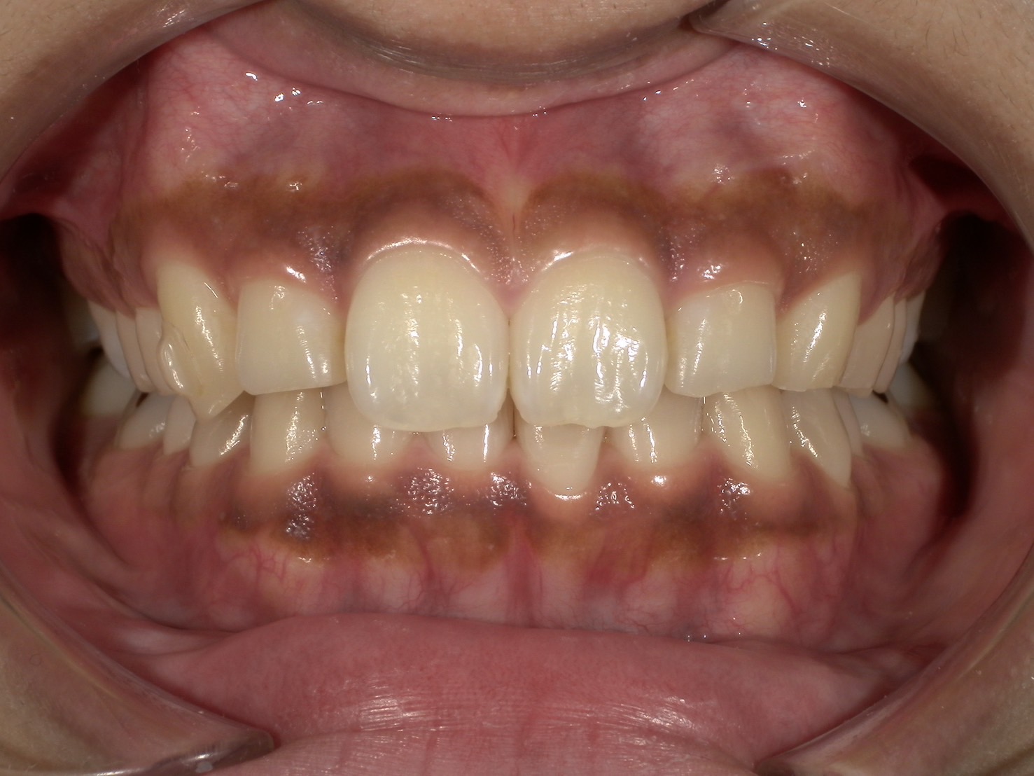
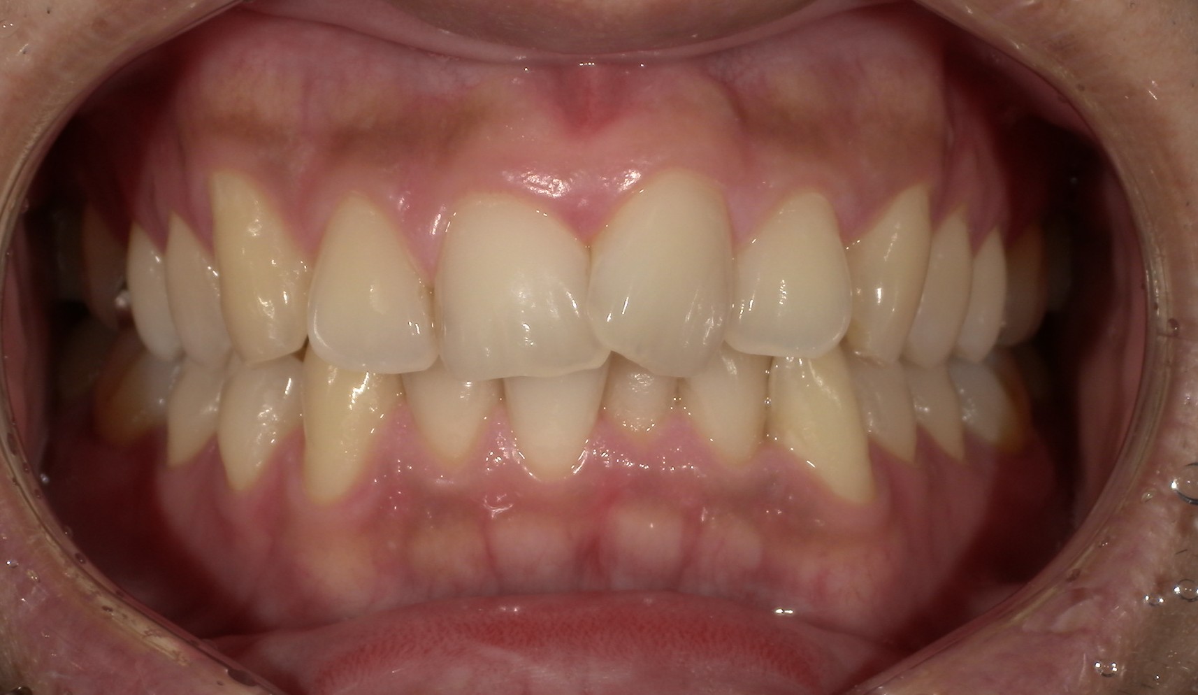
歯茎の黒ずみ
変色を解消し
笑顔を取り戻す

こちらの患者様は、ご自身の歯茎の黒ずみを長年気にされており、歯を見せて笑うことに抵抗があるとお話しくださいました。以前から歯のホワイトニングには興味があったものの、「まずはこの歯茎の色をどうにかしたい」という強いご希望をお持ちでした。人前で口元を隠して話したり、笑顔になるのをためらったりするなど、コンプレックスとして深く悩んでいらっしゃったようです。

「思いきり笑えるようになりたい」「口元を気にせず自信を持ちたい」という患者様の切実な願いは、私たちにとっての治療目標でもあります。そこで、まずは患者様のお悩みにしっかりと耳を傾け、歯茎の黒ずみを安全に除去できるガムピーリングをご提案しました。

詳しく見る

CASE04

仮歯のトラブルと不信感…
信頼できる治療で
美しく長持ちする歯へ

こちらの患者様は、他院で装着された仮歯の見た目の悪さ(形態の不自然さ、色の不調和)と、すぐに割れてしまうという問題に悩まされ、治療そのものへの不信感を抱えて当院へ転院を希望されました。「今度こそ、きちんと違和感なく、長持ちする丈夫な歯を入れてほしい」という切実なご要望がございました。

詳しく見る

CASE05

前歯の印象を
美しく変える
自然になじむ
セラミック治療

こちらの患者様は、長年、前歯の見た目(色、形、歯並びの若干の不調和)にお悩みでいらっしゃいました。特に人前に出る機会も多く、笑顔に自信を持ちたいという強いご希望がありました。

かぶせ物と歯の間の隙間(青矢印)や明らかに歯を治しているのがわかる色を修正し、歯の美しさを根本から改善し、長期的な審美性と機能性を両立するため、「セラミック治療」をご提案し、施術を行いました。

詳しく見る

CASE06

前歯が
欠けてしまった場合の治療
(ダイレクトボンディング)

こちらの患者様は前歯がかけてしまい困っておりました。なるべく目立たず長持ちする治療を行いたいという事でしたので自費処置のダイレクトボンディングを行いました。
周りの歯にかなり馴染みどこを治したのかわからないとお褒めの言葉いただきました。
大変お喜びになられておりました。

詳しく見る

CASE07

前歯の
虫歯・変色の治療

こちらの患者様は前歯のCR(コンポジットレジン)が変色して困っておりました。古いCRを丁寧に除去し、CRを再度やりなおす治療をご提供させて頂きました。前歯は目立つ部分ですので大変お喜びになられておりました。

詳しく見る

CASE08

歯の汚れを
落としたい

たばこやコーヒーを習慣的に摂取するため歯に着色がついてしまい気になっている。という内容でご来院いただきました。術後はこんなに歯が白くなってびっくりしたとおっしゃっていました。

詳しく見る

CASE09

歯が抜けてしまった部分の
欠損治療

前歯のブリッジ(連結したかぶせ物)が折れてしまったため困っておりました。歯が折れてしまっているため抜歯を行い前歯に入れ歯を作成しました。予算の範囲できれいな前歯を手に入れられて大変満足されていました。

詳しく見る